
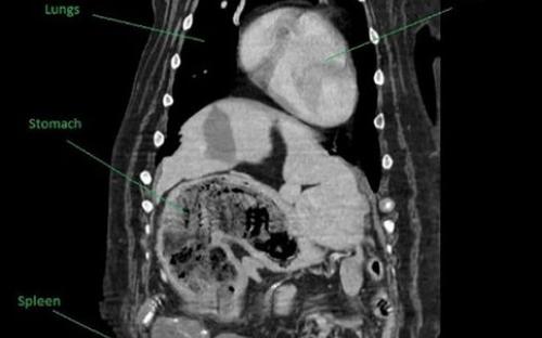
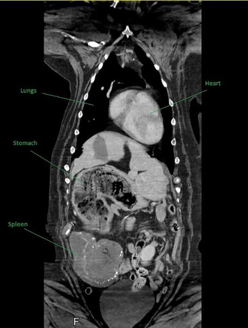
Сенбернар Мейзи заставила своих хозяев понервничать, когда у нее заметили сильное вздутие живота и проблемы с селезенкой. Поначалу ветеринары решили, что у собаки проблемы с пищеварением, но после дополнительных обследований появилось подозрение, что у животного раковая опухоль, пишет Metro.
По словам британки Джейн Дикинсон, хозяйки Мейзи, когда собаке назначили операцию, женщина боялась, что питомица ее не выдержит. Сенбернару уже восемь лет, и хотя для собаки этой породы это не самый преклонный возраст, ей может быть тяжело переносить такие серьезные операции.
Но оказалось, что все далеко не так страшно, как подумали ветеринары, изучив снимки внутренних органов. На самом деле у Мейзи не было никакого рака: она каким-то образом проглотила четыре плюшевых игрушки, которые и вызывали проблемы в организме.
Хотя достать их было непросто, сама операция получилась куда безопаснее, чем если бы у сенбернара был рак. По словам ветеринара Ника Блэкберна, они с коллегами никак не ожидали, что найдут в животе у собаки игрушки.
"Мы все знаем, как некоторые собаки любят грызть то, что им нельзя, но проглотить целиком четыре мягких игрушки — это настоящее достижение", – говорит Блэкберн.
Фото: Metro. Источник: СЕГОДНЯ




